• Skip to primary navigation
  • Skip to content
  • Skip to primary sidebar
  • Skip to footer

Northland Prosthodontics - Northland Denture Specialist - Whangarei

Specialised prosthodontic treatments for patients throughout Northland. Talk to us about dentures, missing teeth, worn out teeth, gappy smiles needing cosmetic dentistry, veneers, crowns (caps), bridges and implant crowns.

Appointments (09) 430 0046

Suite 2, Melville House, 17 Rust Ave, Whangarei, Northland, NZ
| Email Us | Meet the Team
  • Home
  • About
    • The Practice
    • The Team
    • Our Dental Laboratories
    • Our Specialist Colleagues
    • Our Patient Testimonials
  • Treatments
    • All Treatments
    • Dentures
    • Crowns & Bridges
    • Cosmetic Dentistry / Makeovers
    • Implants
    • Tooth Grinding & Joint Disorders
  • FAQ
  • Case Studies
  • Forms
  • Appointments

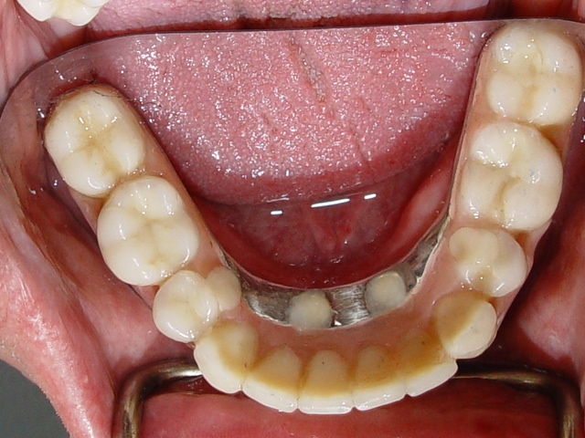
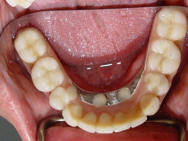
13-lower-implant-bridge

Reader Interactions

sidebar

Blog Sidebar

Dental Treatments

Why Implant Dentures?

Brian talks about how implant dentures changed his life.

 

ASK ALAN

More about Alan...
  • This field is for validation purposes and should be left unchanged.

Testimonials

I was very lucky to find Alan who has fixed a big problem for me. I had a full recondition and it was his vast experience and happy go lucky friendly attitude that got me through this. I do give 5 stars to Alan and Lesa, and the team at Northland Prosthodontics and Gentle Dental-Gus Cameron in Whangarei. I thank you guys heaps.
Tony J
More testimonials...

Footer

Make an appointment

We're open Monday to Friday from 8:30am - 4:30pm
Phone us on 09 430 0046 and ask for Yvonne or Carol.
An initial prosthodontic consultation is usually recommended at $95 to determine your treatment needs. Email Us Now

Design by Creative Web Ideas | Login

NORTHLAND PROSTHODONTICS LTD, Suite 2, Melville House, 17 Rust Ave, Whangarei, Northland, New Zealand. Ph: (09) 430 0046