A selection of partial arch fixed implant bridge patients Oral Surgeons – Dr Han Choi, Dr Sam Goldsmith, Dr Rajiv Rajpal NSOMS Prosthodontist – Dr Alan Payne NSOMS/Northland Prosthodontics Dental technicians – Hosaka Takashi, DT [Read More]
Compilation of 5-year follow-up of full arch fixed implant bridges
A selection of full arch fixed implant bridge patients after 5 years of wear Oral Surgeons – Dr Han Choi, Dr Sam Goldsmith, Dr Rajiv Rajpal NSOMS Prosthodontist – Dr Alan Payne NSOMS/Northland Prosthodontics Dental technicians – [Read More]
Lady with severe deep bite and worn lower teeth wants a solution !
This lady presented with concerns about not being able to eat properly / unable to break up her food due to severely worn lower teeth, missing back teeth and a severe deep overbite. She was also complaining of loss of lower facial height. She was [Read More]
Upper and lower All-on-Four permanent ceramic fixed bridges using transitional immediate dentures – what a result !
This man decided after many years of neglecting his teeth that it was time to do something about them. He elected not to have transitional fixed acrylic implant bridges, but rather a more classic approach of removable immediate dentures. These were [Read More]
Patient decided …time to do something about my teeth !!!!!
This man decided after many years of neglecting his teeth that it was time to do something about them. We diagnosed his case as a classic "terminal dentition" . With him being a classic "philosophical" patient, we could no go wrong doing his [Read More]
NEVER TO LATE TO MAKE A CHANGE TO ALL-ON-FOUR FIXED IMPLANT BRIDGES
This lady wanted to change from an implant overdenture to fixed implant bridges (All-on-Four)- we obliged doe which she gave us a great smile! This lady had a conventional upper denture and lower two-implant overdenture previously made with [Read More]
HAD NOT WORN DENTURES FOR YEARS – UTTERLY EMBARASSED – BUT NOW A CHANGED PERSON !
This is a progressive story about how a lady who had given up trying to wear dentures and thought there was nothing that could be done for her. The pictures reveal how we helped this desperate lady who had not been wearing dentures for years, [Read More]
CHANGED HIS SMILE AND HIS LIFE
This is a progressive story about how a man motivated himself into implant bridge treatment after years of dental neglect to change his life. The pictures reveal his journey through from natural teeth, to transitional dentures, to transitional [Read More]
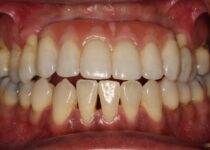
SMILE MAKEOVER WITH GUM SURGERY, IMPLANT CROWN AND NORMAL CROWNS
After many years of living with an unsatisfactory smile, finally this gentleman was encouraged by his wife to come in for treatment on his upper front teeth. His main problem an unsightly very old front crown with an infection that needed to be [Read More]
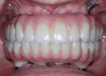
SMILE MAKEOVER WITH IMPLANT BRIDGE
This lady decided that after many years of wearing an old bridge which fractured, she wanted a better smile. She followed a long treatment plan of bridge and tooth removal, bone grafting, implant placement and finally a lovely implant bridge. The [Read More]











