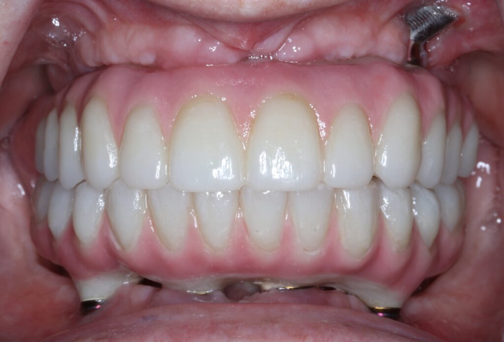
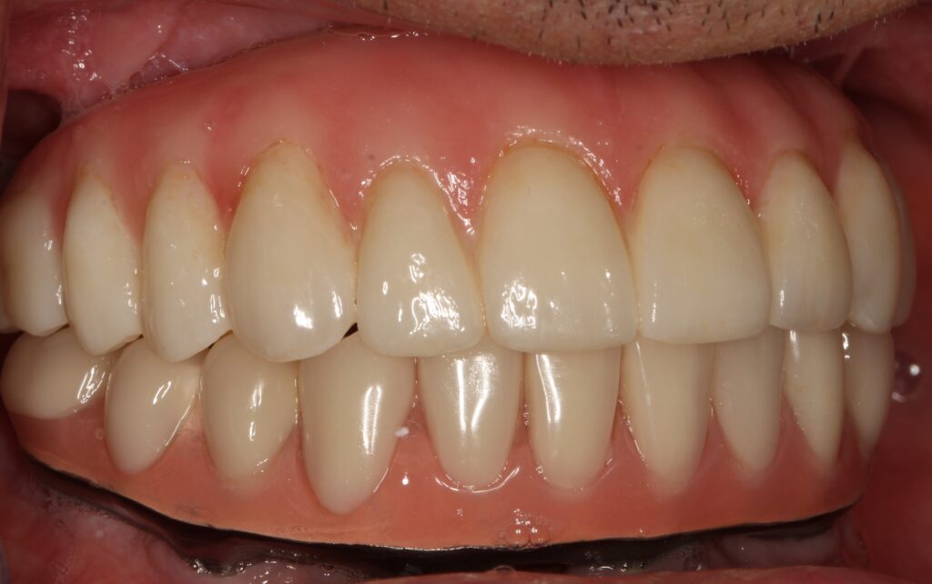
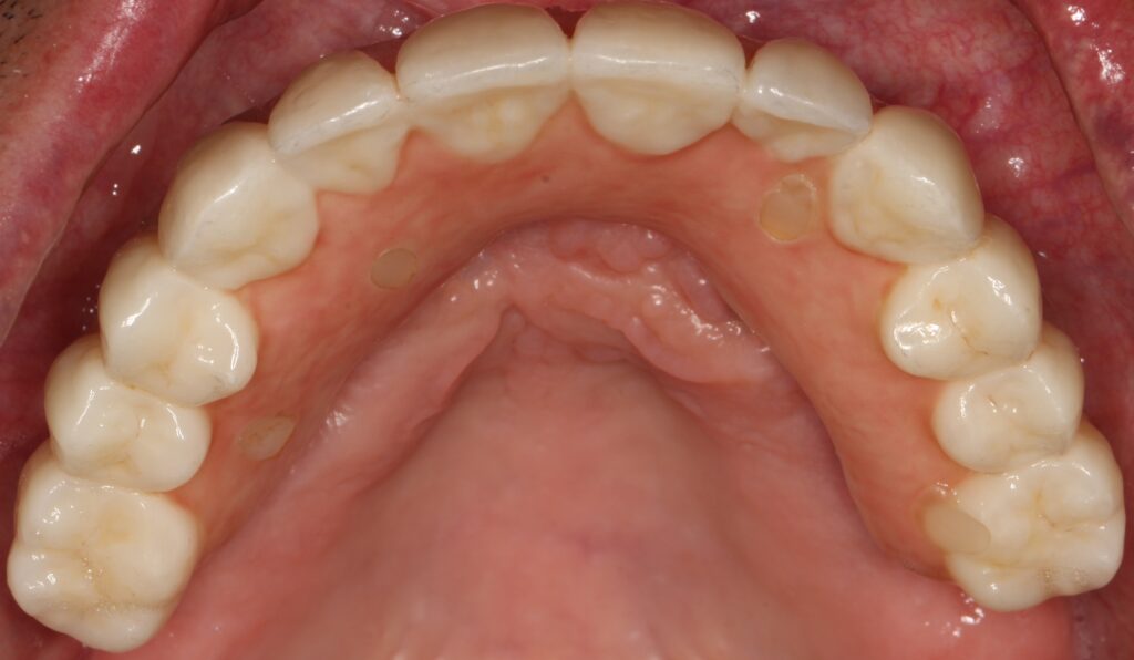
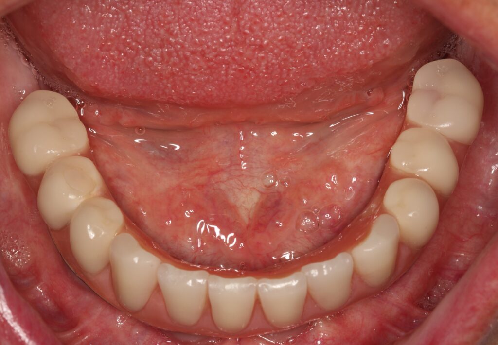
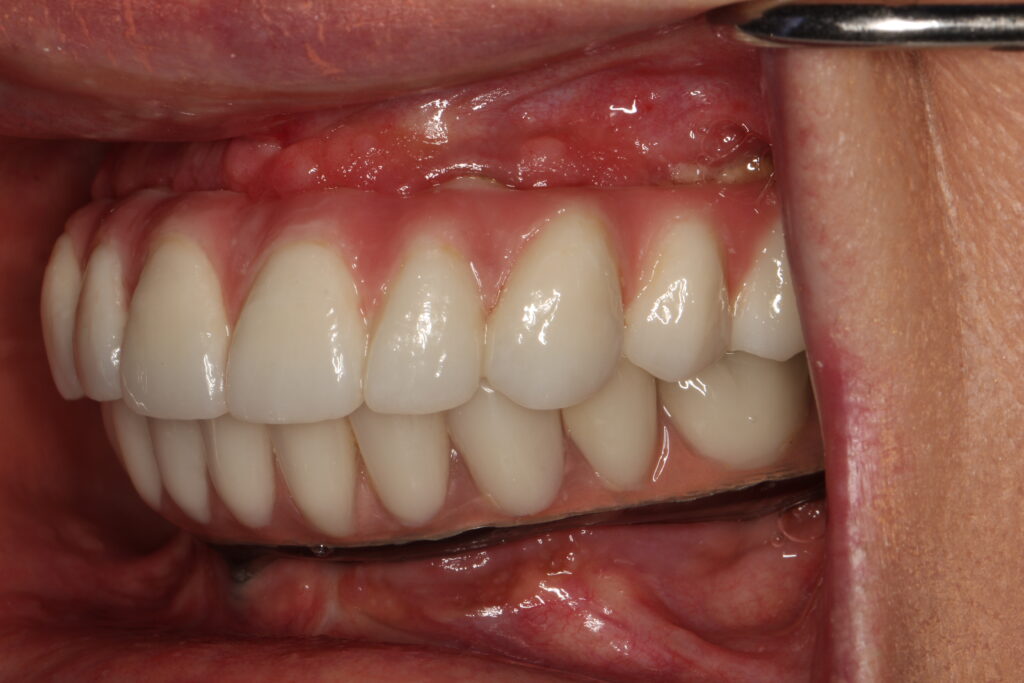
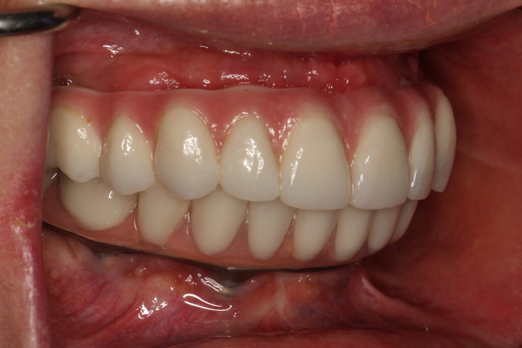
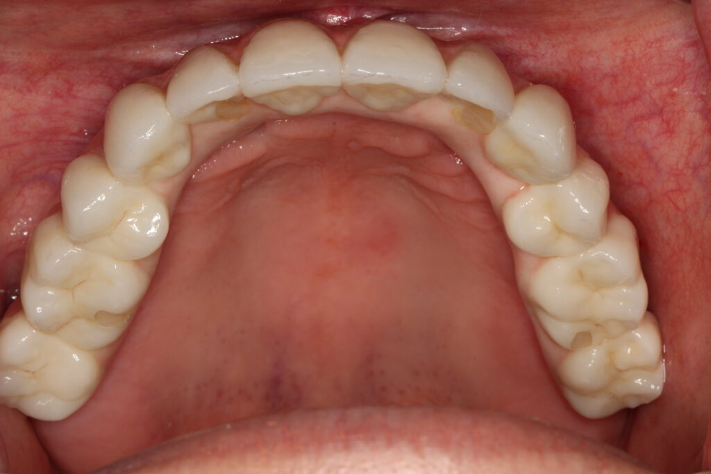
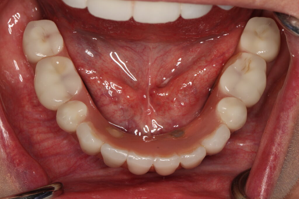
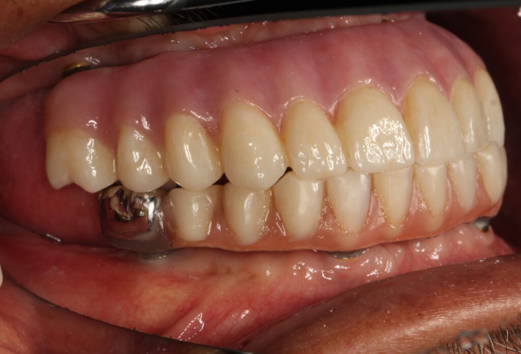
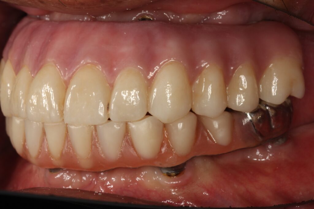
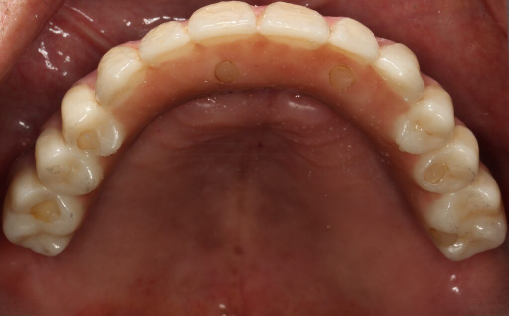
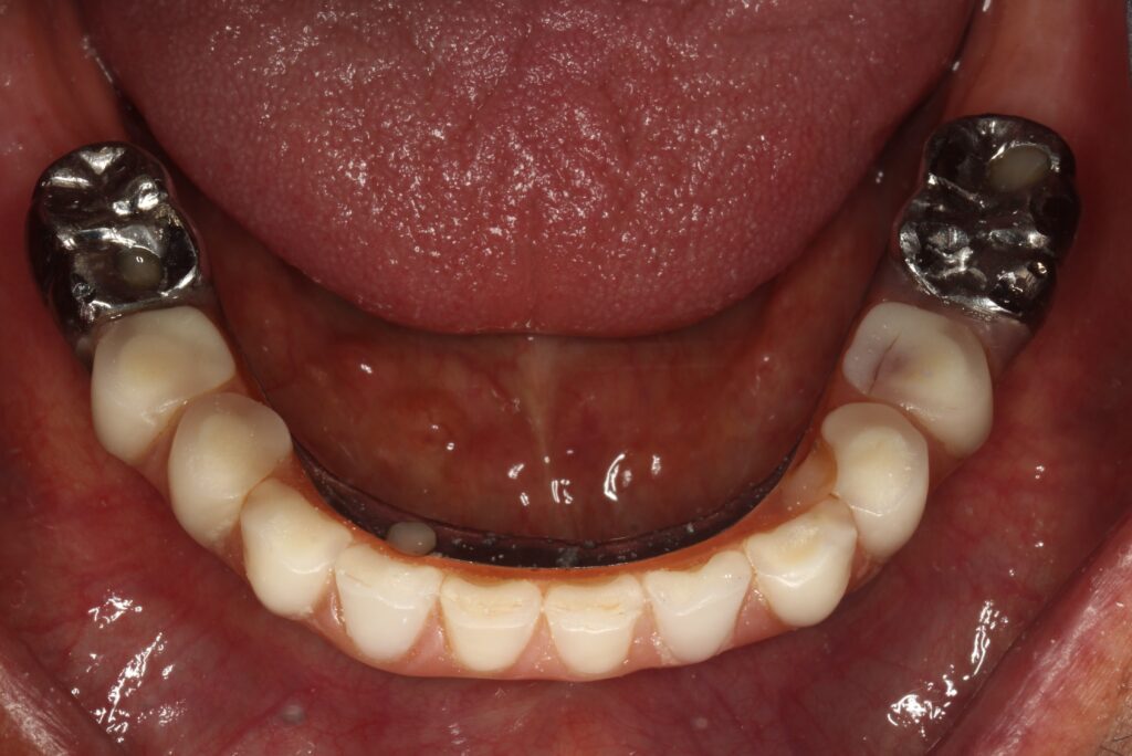
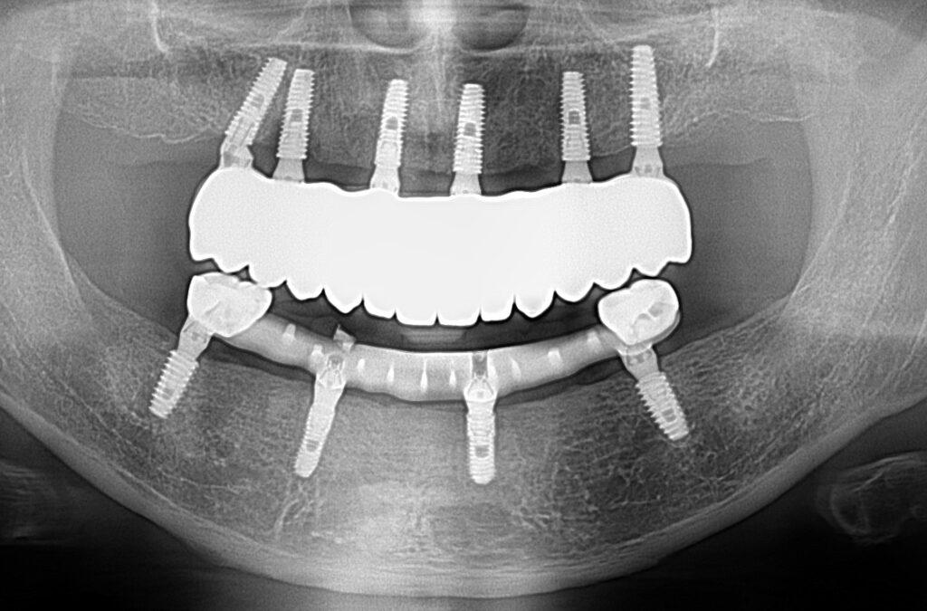
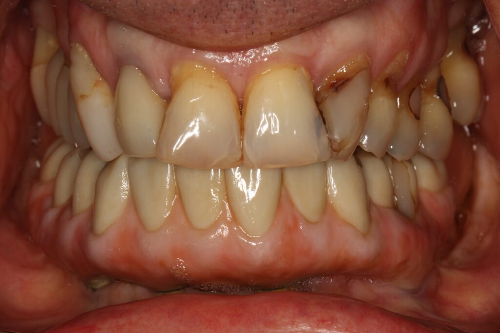
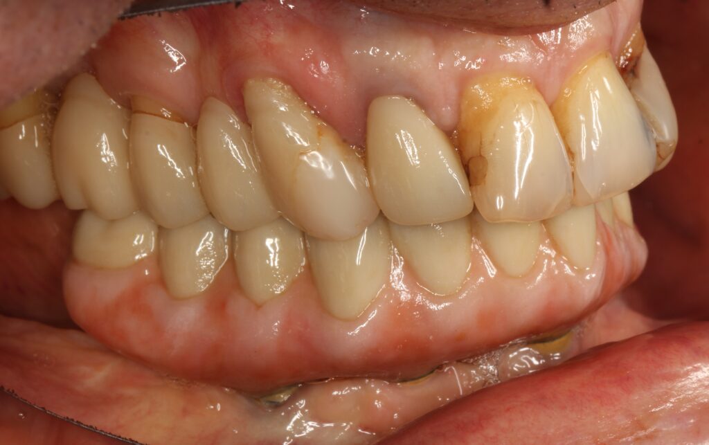
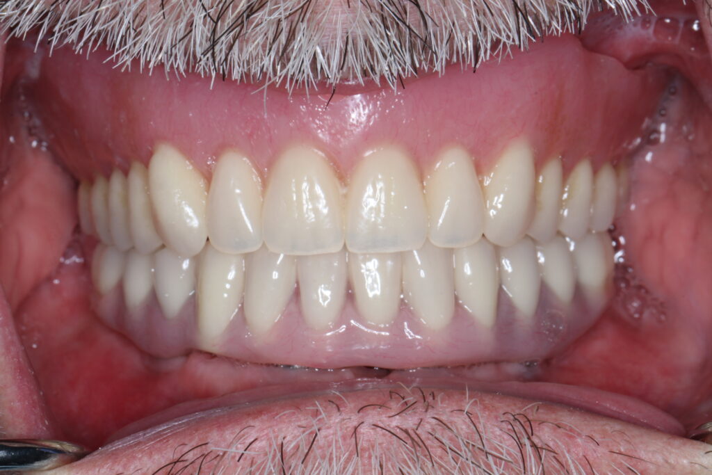
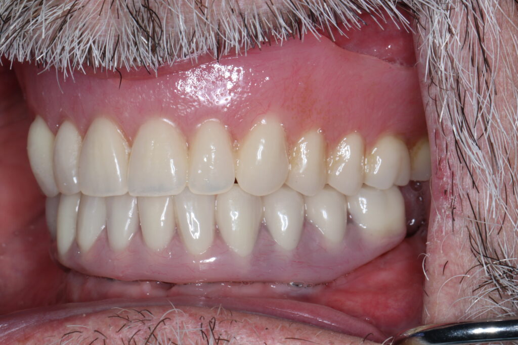
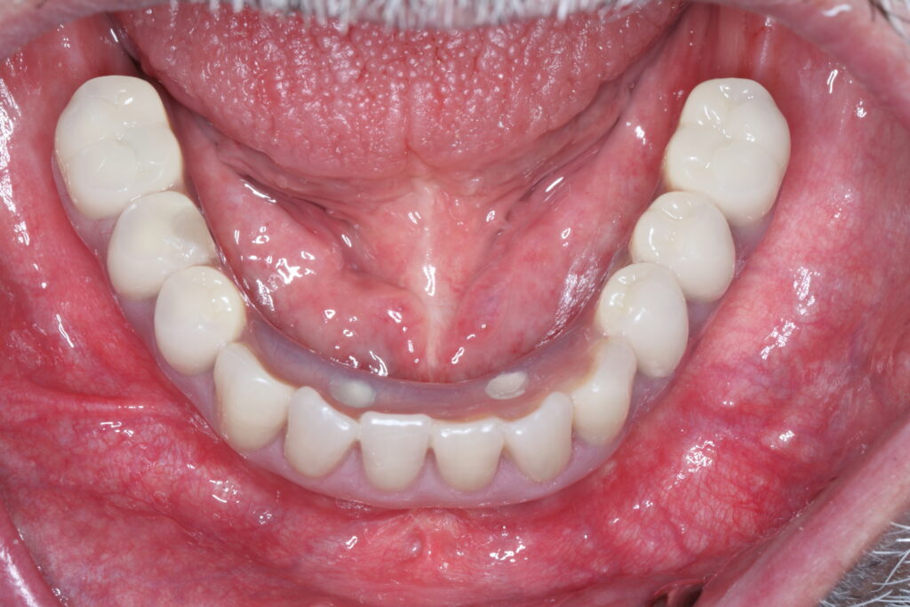
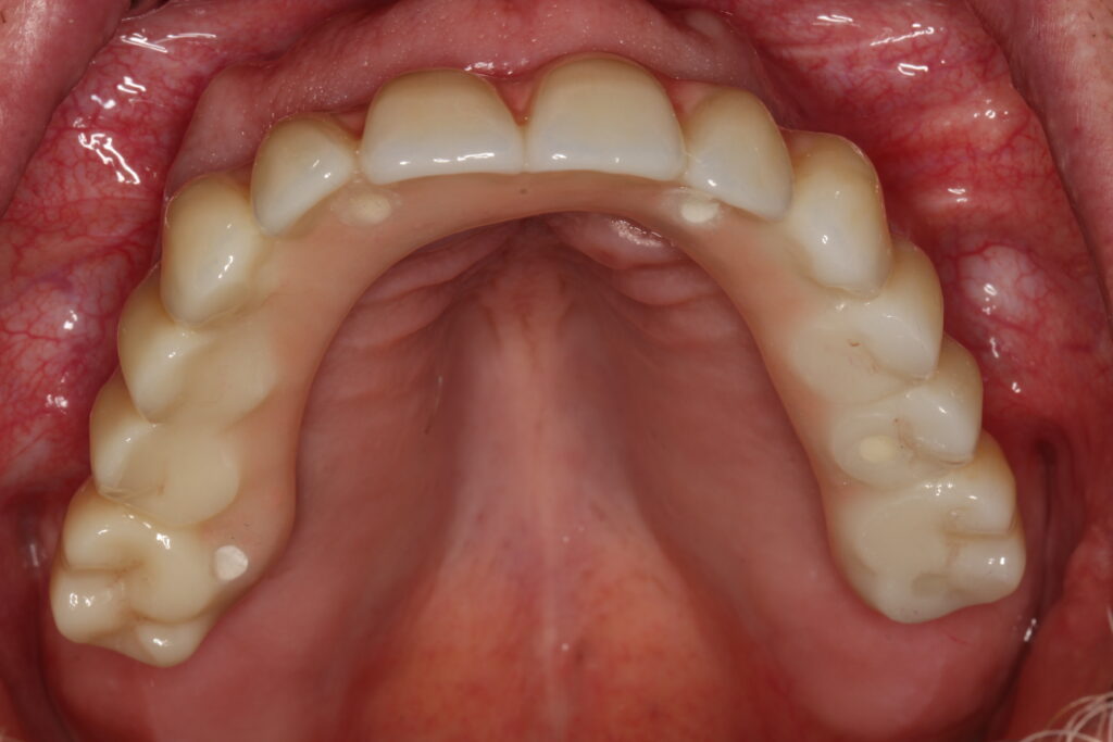
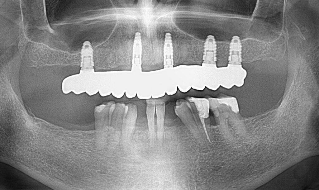
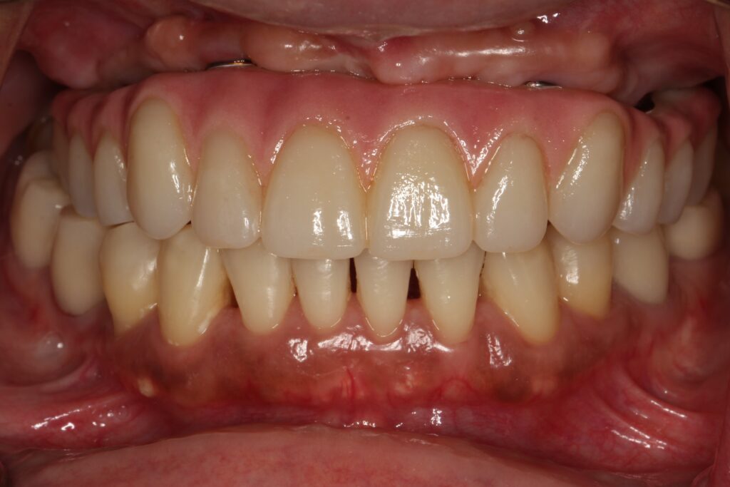
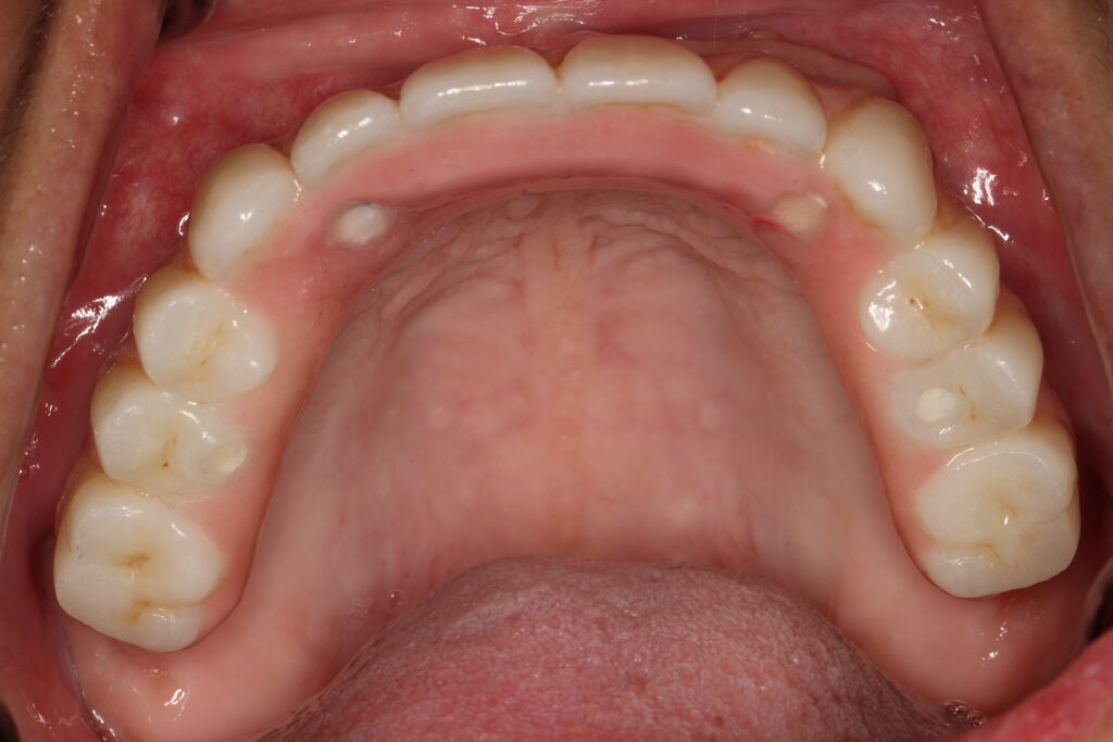
A selection of full arch fixed implant bridge patients after 5 years of wear
Oral Surgeons – Dr Han Choi, Dr Sam Goldsmith, Dr Rajiv Rajpal NSOMS
Prosthodontist – Dr Alan Payne NSOMS/Northland Prosthodontics
Dental technicians – Hosaka Takashi, DT Denture Design, Auckland, CJ Park, Project Dentistry, Auckland and Osteon Medical, Melbourne, Australia.














































